Zahnarzt Dr. Boland

Tel.: 06221 – 41 39 91 // Kurfürsten – Anlage 36, 69115 Heidelberg

Inlays und Veneers

Unsere langjährige Erfahrung sorgt für bestes Wohlgefühl nach einer Zahnrekonstruktion und schenkt Ihnen Sicherheit für den festen Biss.

Implantate sind mittlerweile die bestmöglichste Zahnersatzform, jedoch gibt es viele Situationen, bei denen die klassischen Möglichkeiten des Zahnersatzes eine gute Alternative darstellen.

Inlays

sind Einlagefüllungen aus Gold, Keramik oder Kunststoff, die als individuell gefertigtes Einzelstück in den präparierten Zahn eingeklebt werden. Die haltbarste Restauration für den Zahn ist die Versorgung mit einem KeramikInlay. Wir empfehlen diese Lösung, wenn es um besonders hochwertige und langlebige Lösungen geht. Wenn der Defekt des Zahnes noch nicht so groß ist, dass eine Krone notwendig wird, entscheiden wir uns für ein Inlay. 

Gold- oder Keramik?

Gold-Einlagefüllungen sind höchst stabil und lange haltbar aber aesthetisch kaum noch zu vermitteln.. Einen höheren Schönheitsanspruch bei gleichfalls langer Lebensdauer gewähren Keramikfüllungen. In ihrem Erscheinen sind sie von gesunden, weißen Zähnen nicht zu unterscheiden.

Veneers

Veneers sind hauchdünne, lichtdurchlässige Keramikschalen für den Frontzahnbereich, die bei folgenden Situationen verwendet werden:

  • Schneidekantendefekte
  • Große, unschöne Kunststofffüllungen im Frontzahnbereich
  • Lücken im Frontzahnbereich
  • Fehlstellungen im Frontzahnbereich

Die Veneers geben den Zähnen ein natürliches und optimiertes Aussehen. Auch die Zahnfarbe wird dem Gesamtbild individuell angepasst. Der Vorteil von Keramik ist die natürliche und lichtdurchleitende Eigenschaft. Veneers sind biologisch sehr verträglich. Sie sind ausgezeichnet belastbar und in Hinsicht auf Härte, Abriebfestigkeit und Elastizität bestens zu empfehlen.

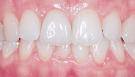
Vorher:
Ein verfärbter Frontzahn

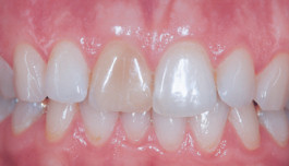
Nachher:
Korrektur der Verfärbung

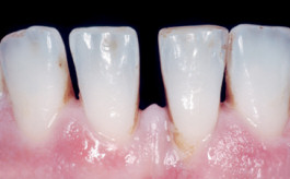
Vorher:
Lückige Unterkieferfrontzähne

Nachher:
Geschlossene Unterkieferfrontzähne